Mann spritzt sich Sperma - gegen Rückenschmerzen
Heute.at
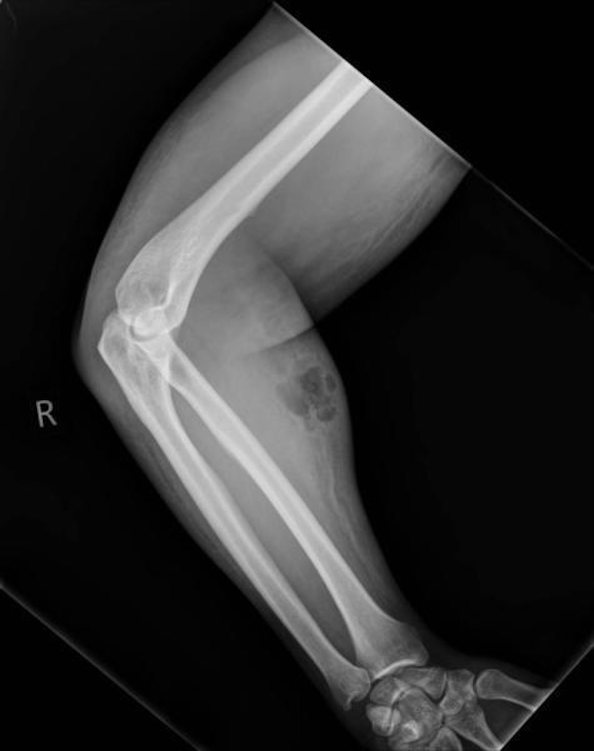
  • 1 /4 Zwar hatte der 33-jährige Ire das Spital wegen anhaltender Rückenschmerzen aufgesucht, doch plötzlich drehte sich alles um seinen rechten Unterarm. Dieser war aus Sicht der Ärzte verdächtig rot angeschwollen.
    ...
    (Bild: IMJ/L.Dunne et al.)
  • 2 /4 Röntgenbilder brachten Licht ins Dunkel: Unter der Haut des Mannes hatte sich ein großer Abszess gebildet. Wie es dazu gekommen war, offenbarte der 33-Jährige erst nach und nach. Am Ende stellte sich heraus, dass er versucht hatte, seine Rückenschmerzen mithilfe einer "alternativen Heilmethode" zu kurieren.
    ...
    (Bild: IMJ/L.Dunne et al.)
  • 3 /4 Während rund 18 Monaten hatte sich der Ire immer wieder sein eigenes Sperma injiziert. Zuletzt hatte er die Dosis deutlich hochgeschraubt und sich diese sowohl intravenös als auch intramuskulär verabreicht. Offensichtlich keine gute Idee.
    ...
    (Bild: iStock)
  • 4 /4 Neben dem Abszess hatte sich der 33-Jährige mit seinem Tun eine schwere bakterielle Unterhautinfektion - eine sogenannte Zellulitis - zugezogen. Deshalb setzen ihm die Ärzte eine weitere Spritze, die dieses Mal antimikrobielle Wirkstoffe enthielt. Bevor die Behandlung jedoch abgeschlossen werden konnte, entließ sich der Patient auf eigene Faust.
    ...
    (Bild: iStock)
Zur Startseite
Jetzt E-Paper lesen