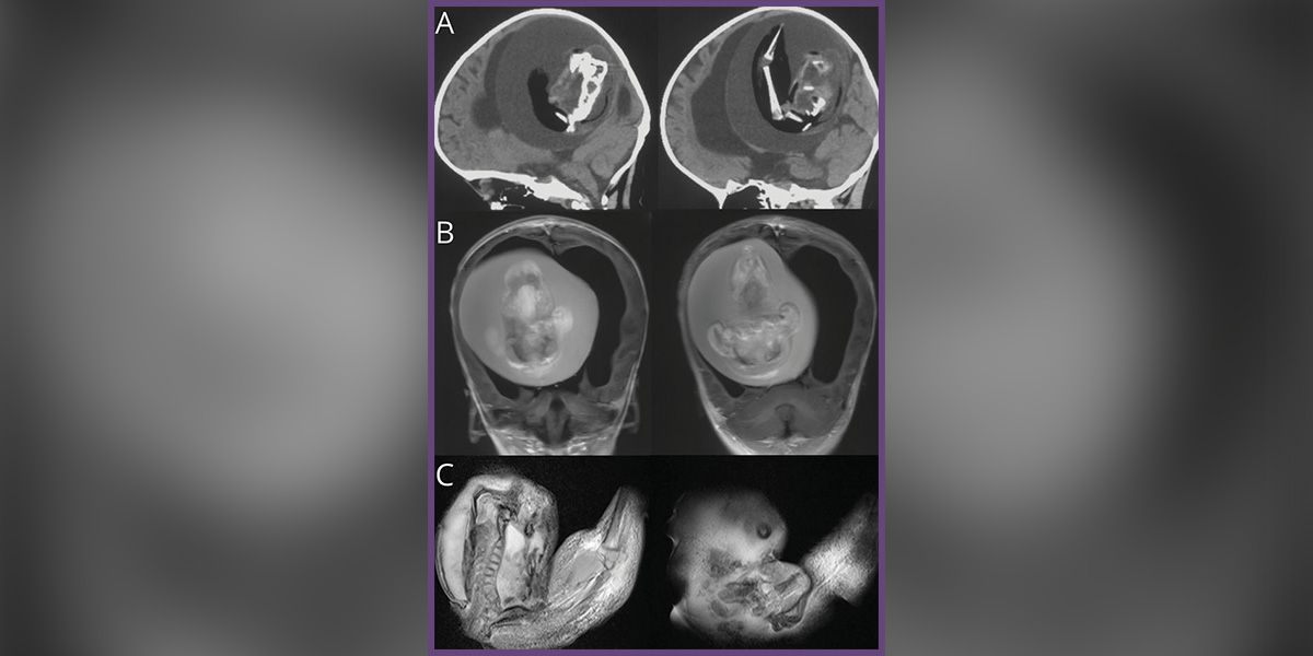
Das äußerst seltene Phänomen des "Fetus in Fetu": Der Zustand wird durch die unvollständige Trennung von eineiigen Zwillingen verursacht, die durch die Teilung einer Eizelle entstehen. Danach entwickelt sich ein Zwilling im Körper des anderen weiter. In diesem Fall im Gehirn. (Bild).
American Academy of Neurology
Jetzt E-Paper lesen