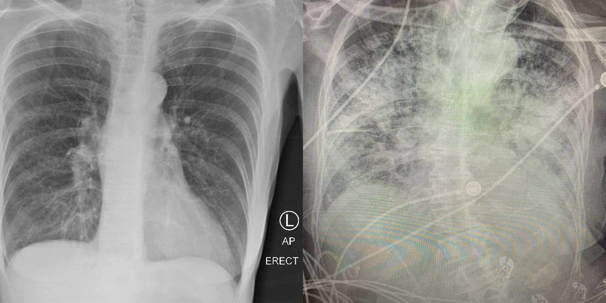
Links eine Raucher-Lunge, rechts die Lunge eines Covid-Erkrankten
Brittany Bankhead-Kendall
Links eine Raucher-Lunge, rechts die Lunge eines Covid-Erkrankten
Jetzt E-Paper lesen