Coronavirus

Ärztin warnt! Corona-Lunge schlimmer als Raucher-Lunge 

Röntgenbilder von Covid-Erkrankten verheißen nichts Gutes für Patienten, die das Virus überstanden haben. Sie müssen mit Spätfolgen rechnen.
Clemens Pilz
15.01.2021, 11:10

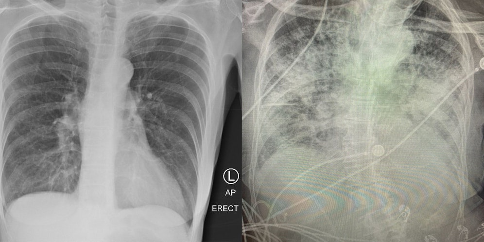
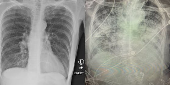
Die Spätfolgen des Coronavirus auf den menschlichen Körper sind noch nicht umfassend erforscht, erste Berichte von Medizinern geben aber Grund zur Sorge. Eine Assistenzprofessorin in Texas, Brittany Bankhead-Kendall, schlägt jetzt Alarm: “Nach einer überstandenen Covid-Erkrankung sehen Lungen schlimmer aus als jede Raucherlunge, die wir je gesehen haben”, so die Ärztin auf Twitter. Wie der Fernsehsender WGN America berichtete, zeigen Röntgenbilder einen dramatischen Unterschied zwischen einer gesunden Lunge, einer Raucherlunge und einer “Post-Covid-Lunge”.

Luft wird auf den Bildern schwarz dargestellt, Knochen und organisches Material weiß. Laut Bankhead-Kendall können Röntgen von Covid-Patienten fast vollständig weiß aussehen, was auf intensive Vernarbung und einen Mangel an Sauerstoff hinweist. Im Vergleich dazu zeigen Raucherlungen auch nach jahrelangem Tabakkonsum noch weniger ausgeprägte Spuren.

"Heute" auf Google als bevorzugte Quelle festlegen

Spätfolgen unklar

Bankhead-Kendall weist darauf hin, dass die Medizin sich im Kampf gegen die Pandemie zunächst darauf konzentriert habe, Menschen kurzfristig am Leben zu halten. Die Spätfolgen der Viruserkrankung blieben daher bislang weitgehend unerforscht. “Alle beschäftigen sich mit der Sterblichkeit und klar, das ist fürchterlich. Aber für die Überlebenden wird das ein echtes Problem”, so die Professorin gegenüber CBS DFW.

Lugnen-Schaden trotz symptomlosen Verlaufs

Besonders heimtückisch: Sogar Corona-Patienten, deren Infektion symptomlos blieb, zeigen teils schwere Lungenschäden. “Es gibt noch immer Leute die sagen ‘Es geht mir gut, ich habe keine Probleme’. Und dann schaust du ihr Lungenröntgen an und es sieht ganz schlecht für sie aus”, so Bankhead-Kendall. “Auch wenn man jetzt keine Probleme hat, kann das Lungenröntgen darauf hindeuten, dass man mit Spätfolgen rechnen muss.”

Jetzt E-Paper lesen