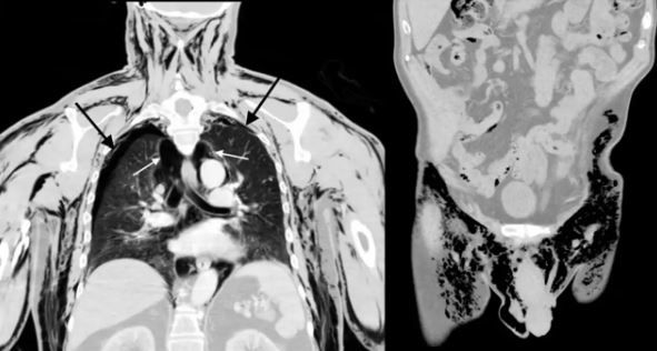
Ein CT-Scan der Brust des 72-jährigen Mannes (links). Die schwarzen Pfeile zeigen die kollabierten Lungen, während die weißen Pfeile auf Lufteinschlüsse (feste schwarze Bereiche) zeigen, die zwischen dem Innenraum außerhalb der Lunge und innerhalb der Brustwand eingeschlossen sind. Der Unterleib des Mannes (rechts) zeigt die Luftmenge (schwarze Bereiche) in seinen Oberschenkeln und seinem Hodensack. 
American Journal of Case Reports
Jetzt E-Paper lesen