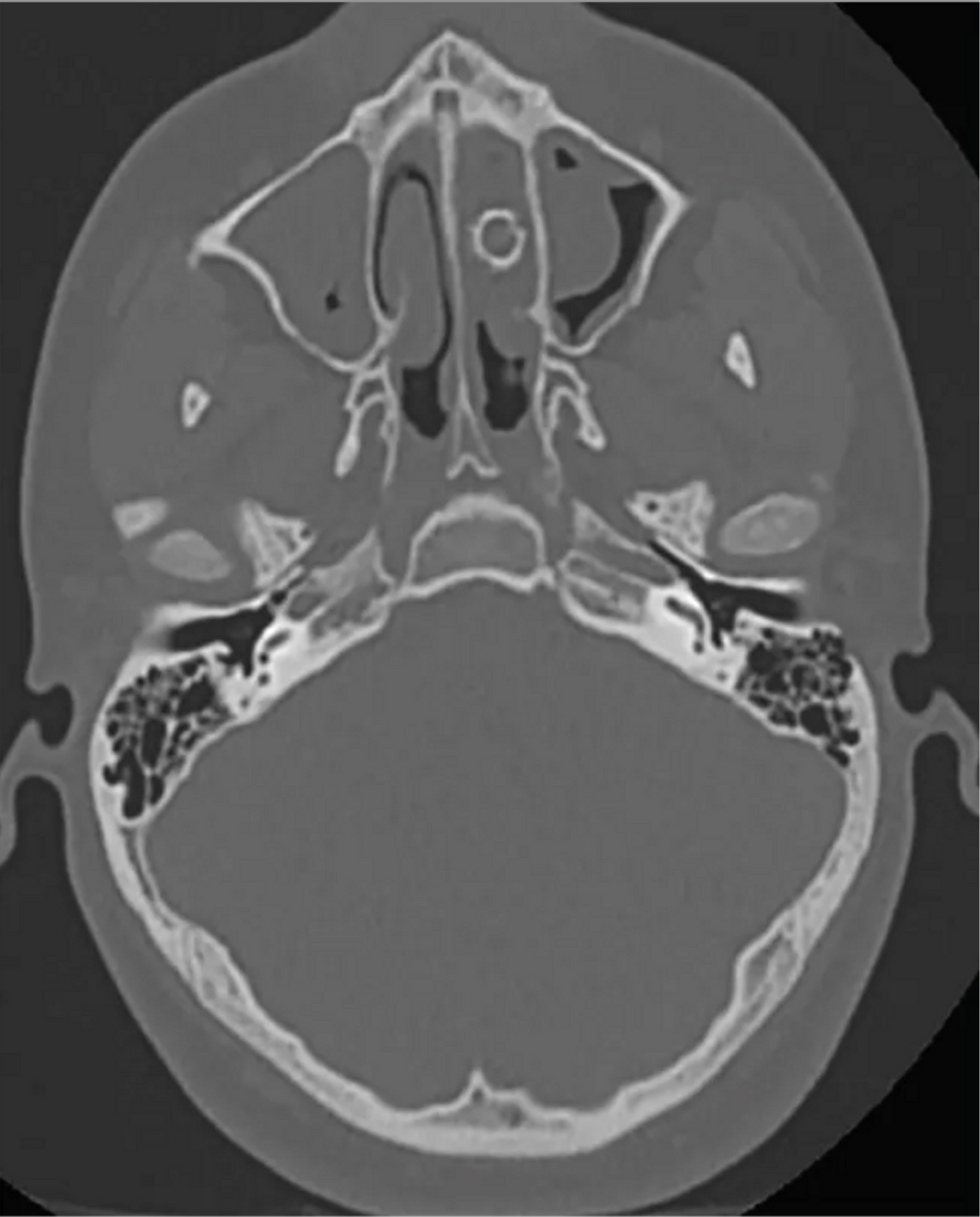
Ein bei einem weiteren Arzttermin angefertigter CT-Scan offenbarte, was die Ursache für die Probleme des zu dem Zeitpunkt 16-Jährigen herrührten.
JAMA Network, 2021 American Medical Association
Ein bei einem weiteren Arzttermin angefertigter CT-Scan offenbarte, was die Ursache für die Probleme des zu dem Zeitpunkt 16-Jährigen herrührten.
Jetzt E-Paper lesen