Gesundheit

Munition in Nase sorgt bei Teenie für fauligen Geruch

Die Nase ständig zu und das Putzen bringt keine Erleichterung, später kam noch ein übler Geruch hinzu – für einen 16-Jährigen war das lange Alltag.
20 Minuten
11.03.2021, 06:35

Im Alter von 15 Jahren wurde es dem Amerikaner zu viel: Jahrelang war seine Nase verstopft. Zudem klagte er über einen verminderten Geruchssinn. Ein Arzt sollte ihn nun also von dem Problem erlösen.

Die konsultierten Mediziner untersuchten das Innere der Nase des Teenagers mit einem Endoskop. Dabei stellten sie eine übermäßige Vergrößerung der Nasenmuschel fest, ein Zustand, der unter anderem durch Heuschnupfen oder Nasennebenhöhlenentzündungen verursacht werden kann. Um ihn von seinem Leiden zu befreien, verschrieben sie ihm Nasenspray und ein Antihistaminikum. In etwa vier bis sechs Wochen sollte er noch einmal vorstellig werden.

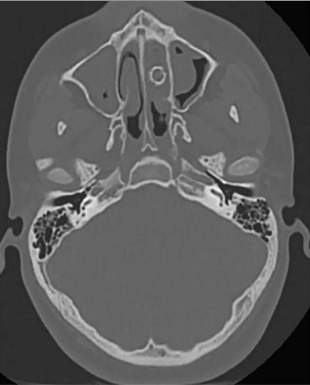
Neun-Millimeter-Struktur in der Nasenhöhle

Doch der junge Mann hielt sich nicht daran, sondern haderte ein weiteres Jahr mit seinen Symptomen, wie es im Fachjournal "Jama Otolaryngology – Head & Neck Surgery" heißt. Erst dann tauchte er wieder in der Arztpraxis auf. Seine Nase sei weiterhin verstopft, zudem habe sich ein weiteres Problem hinzugesellt: Wann immer er sein Riechorgan durch das Putzen frei gemacht hatte, tauche ein "übler Geruch" auf, der zugleich "stechend und faulig" sei.

"Der Patient berichtete, dass er nicht das Gefühl hatte, schlechten Atem zu haben, aber es war ihm peinlich, dass jedes Mal, wenn er sich die Nase putzte, dieser Geruch entstand", so die Studienautoren. Der 16-Jährige wurde erneut untersucht. Mithilfe eines CT-Scans entdeckten die Mediziner schließlich eine neun Millimeter große kugelförmige Struktur in der Nasenhöhle des Jugendlichen.

Wie kommt die Kugel in die Nase?

Die Ärzte entfernten den Fremdkörper in einer anschliessenden Operation: Das mysteriöse Objekt, das von Gewebe überwachsen war, entpuppte sich als Metallkugelgeschoss, wie es in Luftgewehren verwendet wird. Doch wie war das dorthin gekommen?

Ein Gespräch mit den Eltern sorgte für Aufklärung: Ihr Sohn habe sich im Alter von etwa acht oder neun Jahren mit einem Luftgewehr in die Nase geschossen, heißt es in der Fallstudie. Da dieser danach nicht über Symptome gesprochen habe, habe man damals keinen Grund dafür gesehen, einen Arzt zu konsultieren.

Einzigartiger Fall

Der Fund der Munition konnte nicht nur die im Laufe der Jahre aufgetretenen Verstopfungsgefühle erklären, sondern auch den Geruch, erklärt Dylan Z. Erwin vom University of Texas Health Science Center in San Antonio gegenüber Livescience.com: Fremdkörper in der Nase würden den natürlichen Ausfluss aus der Nase blockieren, "so dass es zu einer Ansammlung von Schleim, eingeatmeten Ablagerungen und Bakterien kommt." Mitunter könnte das auch zu Infektionen im ganzen Körper, insbesondere im Kiefer oder den Augen und Knochenabbau kommen. Das sei aber nicht immer so, wie der Fall des 16-Jährigen zeige.

Dieser ist laut den Forschenden noch aus einem anderen Grund besonders. So kämen nasale Verletzungen durch Metallkugelgeschosse zwar häufig bei Jugendlichen vor, allerdings sei es das erste Mal, dass eine solche so lange unbemerkt geblieben sei.

Es ist allerdings nicht der erste Fall, bei dem Mediziner Dinge aus Nasen entfernen müssen, die dort eigentlich nicht hingehören: So stießen sie darin etwa schon auf Marihuana, das dort 18 Jahre gesteckt hatte. Auch eine Münze musste schon heraus operiert werden.

Mehr zum Thema
Jetzt E-Paper lesen