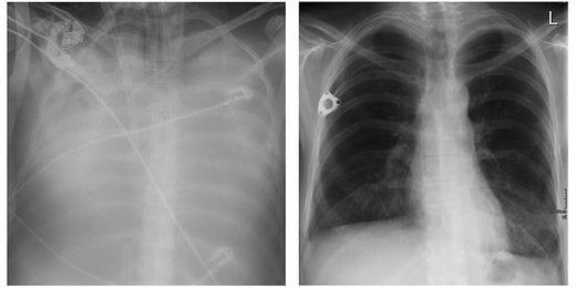
Sabines Lunge mit Covid-19 (l.); ihre neue Lunge (r.)
AKH Wien
Sabines Lunge mit Covid-19; ihre neue Lunge (r.)
Jetzt E-Paper lesen