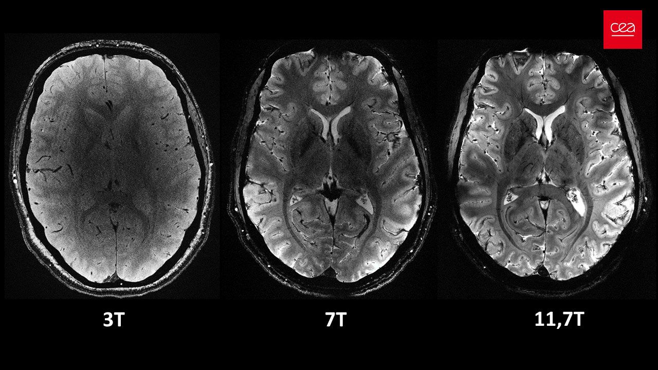
MRT-Aufnahme des Gehirns mit derselben Auflösung bei unterschiedlichen Magnetfeldstärken. Bei 3 Tesla und bei 7 Tesla sind Präzision und Schärfe geringer. Bei 11,7 Tesla liefert der Scan mehr Signale und größere Kontraste zwischen biologischen Geweben, was eine detailliertere Untersuchung des Gehirns ermöglicht.
CEA
 Axial view of the human brain, with the same acquisition time but different magnetic field strengths.
Jetzt E-Paper lesen