Genauer denn je

So unglaubliche Bilder macht das weltbeste MRT-Gerät

Nach 20 Jahren Forschung steht in Frankreich nun das leistungsstärkste MRT-Gerät der Welt, das Bilder in noch nie dagewesener Genauigkeit liefert.
Heute Life
09.04.2024, 16:51
Loading...
Angemeldet als Hier findest du deine letzten Kommentare
Alle Kommentare
Meine Kommentare
Sortieren nach:

Kommentare neu laden
Nach oben

Eine Magnetresonanztomografie (MRT) kommt dann zum Einsatz, wenn weiches Körpergewebe untersucht werden soll. Also Muskeln, Bänder, Sehnen und Organe. MRT-Scanner arbeiten, indem sie den betreffenden Körperteil mit einem starken Magnetfeld umgeben. Die meisten in der Medizin eingesetzten Scanner können eine Feldstärke von 1,5 oder 3 Tesla (T) erreichen.

Unglaublich genau

Die französische Kommission für alternative Energien und Atomenergie (CEA) hat nun das leistungsstärkste MRT-Gerät der Welt präsentiert. In nur vier Minuten kann dieses unglaubliche Gerät Bilder mit einer Auflösung aufnehmen, für die ein durchschnittlicher Krankenhausscanner Stunden bräuchte.

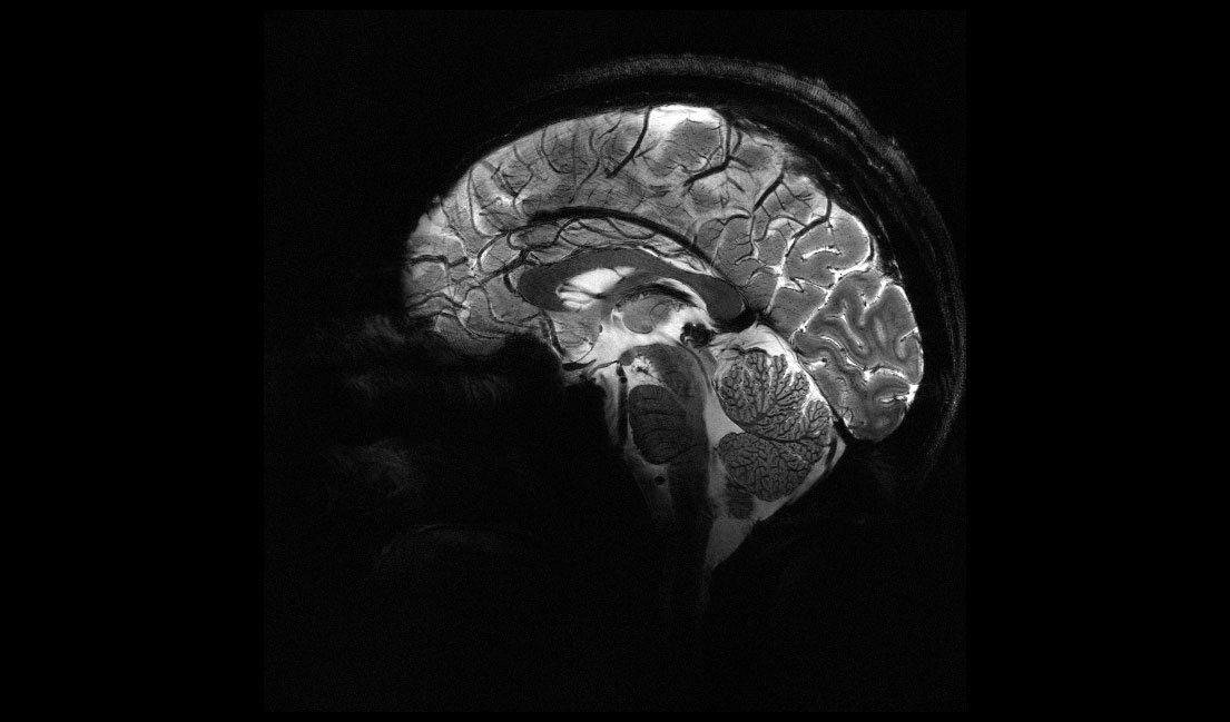
Das CEA veröffentlicht eine Reihe von In-vivo-Bildern des menschlichen Gehirns, die mit dem MRT-Gerät "Iseult" und seiner unübertroffenen Magnetfeldstärke von 11,7 Tesla aufgenommen wurden. Dieser Erfolg ist das Ergebnis von mehr als 20 Jahren Forschung und Entwicklung im Rahmen des Iseult-Projekts, dessen Hauptziel es war, das leistungsstärkste MRT-Gerät der Welt zu entwickeln und zu bauen. Das Ziel ist es, gesunde und kranke menschliche Gehirne mit einer noch nie dagewesenen Auflösung zu untersuchen. In der Alzheimer- und Parkinson-Forschung könnte dies zum Beispiel neue Informationen über die Neurodegeneration in verschiedenen Hirnregionen liefern und zu einer besseren Diagnose beitragen.

MRT-Aufnahme des Gehirns mit derselben Auflösung bei unterschiedlichen Magnetfeldstärken. Bei 3 Tesla und bei 7 Tesla sind Präzision und Schärfe geringer. Bei 11,7 Tesla liefert der Scan mehr Signale und größere Kontraste zwischen biologischen Geweben, was eine detailliertere Untersuchung des Gehirns ermöglicht.
CEA

"Neue Welt"

Mit einer Feldstärke dieser Größenordnung kann der Scanner auch bestimmte chemische Signale auffangen, die mit herkömmlichen Scannern nicht erfasst werden können. Eines davon ist Lithium, ein Medikament, das manchmal zur Behandlung von bipolaren Störungen eingesetzt wird. Mit diesem Scanner können die Wissenschaftler sehen, wie sich das Medikament im Gehirn verteilt, um seine Wirkungsweise besser zu verstehen. "Mit dem Iseult-Projekt eröffnet sich uns eine ganz neue Welt, die wir mit Begeisterung erforschen werden", erklärte der Projektleiter und Forschungsdirektor der französischen Kommission für alternative Energien und Atomenergie (CEA), Nicolas Boulant, in einer Erklärung. "Unser Ziel ist es, bis 2026 bis 2030 neurodegenerative Krankheiten zu erforschen sowie andere Krankheiten, die eher in den Bereich der Psychiatrie fallen, wie Schizophrenie und bipolare Störungen. Auch die Kognitionswissenschaften werden in unserer Forschung von zentraler Bedeutung sein."

{title && {title} } red, {title && {title} } Akt. 09.04.2024, 17:36, 09.04.2024, 16:51
Jetzt E-Paper lesen