Life

Ärzte müssen verrotteten 3,5-Kilo-Hoden entfernen

Heute Redaktion
13.09.2021, 15:34

Wenn ein Teil des Körpers anschwillt und übel zu riechen beginnt, gehen wohl die meisten Menschen sofort zum Arzt. Nicht so ein 43-Jähriger aus Panama.

Ein Hypochonder ist der Mann aus Panama ganz sicher nicht. Denn obwohl sein Hodensack in den letzten 30 Jahren auf die Größe eines 3,5 Kilogramm schweren Fußballs angeschwollen war, hatte er keinen Arzt aufgesucht. Das tat er erst, als ihm das Gehen zunehmend schwerer fiel und er auf die Hilfe seiner Mutter angewiesen war.

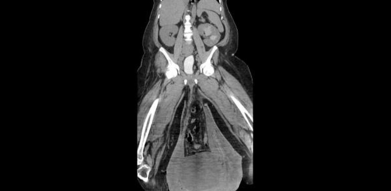
Im Krankenhaus diagnostizierten die Mediziner ein sogenanntes "massives Skrotalödem (Schwellung des Hodensacks) mit Verschiebung über das Knieniveau hinaus" (siehe Bildstrecke). Auch die Haut sei verdickt, außerdem seien zwei große Wunden zu sehen, aus denen eine "übelriechende, eitrige Flüssigkeit" ausgetreten sei, heißt es im Fachjournal "Urology Case Reports".

Fleischfressende Bakterien

Die Ursache des Leidens machten die Ärzte schließlich auf Röntgenbildern von Bauchraum und Becken des Patienten aus: ein seit Jahrzehnten nicht behandelter Leistenbruch. Seither wölbte sich ein Teil seines Darms durch die vordere Bauchwand, wodurch es in der Folge zu einem Lymphödem des Hodensacks kam.

Zudem stellten die Mediziner bei dem 43-Jährigen noch eine sogenannte Fournier-Gangrän fest. Dabei handelt es sich um eine seltene Sonderform der nekrotisierenden Fasziitis, bei der das Gewebe des Genitalbereichs von Bakterien zersetzt wird und abstirbt.

Abgestorbenes Gewebe

Um ein weiteres Fortschreiten der Infektion zu verhindern, den Mann vor einer Blutvergiftung zu bewahren und den infizierten Hoden zu retten, entschlossen sich die Ärzte zur Notoperation. Dabei stießen sie auf weitere offene Wunden und abgestorbenes Gewebe, das sogar begonnen hatte, sich zu verflüssigen.

Auch ihnen habe der Eingriff einiges abverlangt, so die Ärzte. Das Setzen eines Katheders sei schwierig gewesen, "weil der Penis in der entzündeten Maße vergraben war".

Ende gut, alles gut?

In weiteren Operationen wurde schließlich das gesamte abgestorbene Gewebe entfernt, der Leistenbruch behoben und der Hodensack rekonstruiert. Zehn Tage, nachdem er im Krankenhaus vorstellig geworden war, konnte der Mann bereits in ein Rehazentrum verlegt werden.

Bei einer Folgeuntersuchung vier Wochen später zeigten sich seine Ärzte zufrieden – sowohl mit den "kosmetischen als auch den funktionellen Ergebnissen." Trotzdem dürfte die Erfahrung dem 43-jährigen Mann wohl eine Lehre sein, das nächste Mal deutlich früher zum Arzt zu gehen.

Jetzt E-Paper lesen