Life

So ist es mit einer Gehirnhälfte zu leben

Wie Forscher berichten, hat das Leben mit einem halben Gehirn keine Auswirkungen auf die geistige Leistungsfähigkeit.
Heute Redaktion
13.09.2021, 15:21

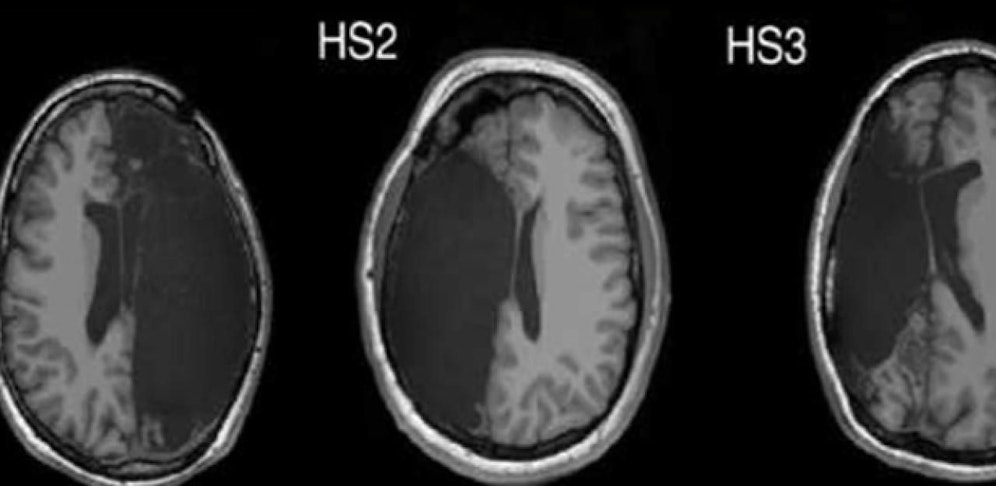
Die Entfernung einer Gehirnhälfte, medizinisch auch Hemisphärektomie genannt, stellt einen besonders komplexen Eingriff dar, der nur in äußersten Notfällen, wie bei schwerer Epilepsie, eingesetzt wird.

Dass man mit einer Gehirnhälfte überleben kann, scheint bereits ein Erfolg zu sein, aber dass man keine verminderten geistigen Fähigkeiten hat, ist noch bemerkenswerter.

Das Gehirn reorganisiert seine Aufgabenbereiche

Das Gehirn lernt, wie es scheint solch Veränderungen zu bewältigen. Gerade rätselt die Forschung darüber, wie es möglich ist, dass Menschen, denen eine Gehirnhälfte fehlt, fast ohne merkliche Einschränkungen auskommen.

Sie vermuten, dass das Gehirn sich in gewisser Weise umstrukturiert. Durch die Reorganisation könnten Aufgaben übernommen worden sein. Nur so ist es möglich zu erklären, wie sich alle wichtigen Informationen auf einer Seite sammeln.

Ist ein Bereich betroffen, kann es zu großen Ausfällen kommen

Die Studienautorin Dorit Kliemann bemerkt,"wie bemerkenswert intakt die Fähigkeiten der Probanden waren. Zum Beispiel ihre Sprache: Als sie sich in den Gehirnscanner legten, führte ich mit ihnen Smalltalk – so wie mit hunderten anderen Patienten zuvor."

Auf den Bildern der Magnetresonanztomographen sieht man deutlich die dunklen Flecken, wo sich keine Gehirnmasse befindet.

Bei Kopfverletzungen, Schlafanfällen und Tumoren verhält es sich indessen ganz anders. Da kann es, obwohl nur ein kleiner Teil des Hirnbereichs beeinträchtigt ist, zu massiven Ausfällen kommen. Zu diesen Punkten forscht das Team um Kliemann nun weiter.

Mehr zum Thema
Jetzt E-Paper lesen