Österreich

"Mein Unterschenkel ist nach einer OP gelähmt"

Heute Redaktion
13.09.2021, 20:08

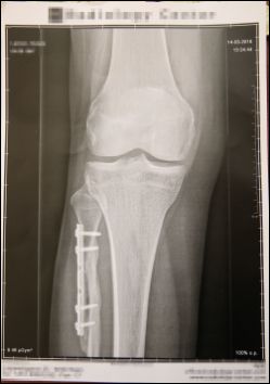
Renate L. (70) brach sich im Dezember 2017 den rechten Unterschenkel. Ein Unfall-Chirurg setzte ihr eine Titan-Platte ein. Diese schädigte einen Nerv schwer.

"Mein Unterschenkel ist komplett taub. Vor kurzem ist mir ein Suppentopf aufs Bein gefallen, und ich hab gar nix gespürt", erzählt Renate L. (70). Die Pensionistin aus Purkersdorf bei Wien gibt der Titan-Platte die Schuld, die ihr auf Anraten eines renommierten Unfall-Chirurgen eines Wiener Privatspitals im Dezember 2017 eingesetzt wurde: "Ich hatte monatelang Schmerzen, und habe immer wieder darauf hingewiesen. Er hat nur gemeint, es ist alles in Ordnung", meint Renate L.

Schließlich wurde im heurigen März ein Röntgen gemacht: "Daraufhin meinte der Chirurg: 'Die Platte muss raus'", so die 70-Jährige. Inzwischen hatte die Titan-Platte einen Nerv derart gereizt, dass dieser schwer geschädigt ist: "Ich mache Physiotherapie, gehe massieren und muss eine Schiene tragen. Aber es ist nicht besser geworden. Im Gegenteil: Ich habe oft das Gefühl, ein Messer sticht in mich rein."

Chirurg beruft sich auf ärztliche Schweigepflicht

Auf "Heute"-Nachfrage beruft sich der betroffene Mediziner auf die ärztliche Schweigepflicht und meint: "Es ist – wenn ein Patient der Meinung ist, dass ein Behandlungsfehler vorliegt – das übliche Vorgehen über die unabhängige Schlichtungsstelle der Ärztekammer eine fachliche Beurteilung zu bekommen und so für einen erlittenen Schaden kompensiert zu werden."

Jetzt E-Paper lesen