Gesundheit

Studie behauptet: Corona lässt das Gehirn schrumpfen

Laut einer Studie kann Covid-19 zu Hirnschwund führen und die kognitive Leistung verringern. Die Studie ist jedoch mit Vorsicht zu genießen.
09.03.2022, 15:45

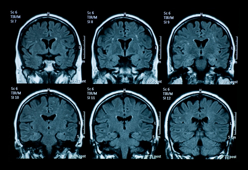
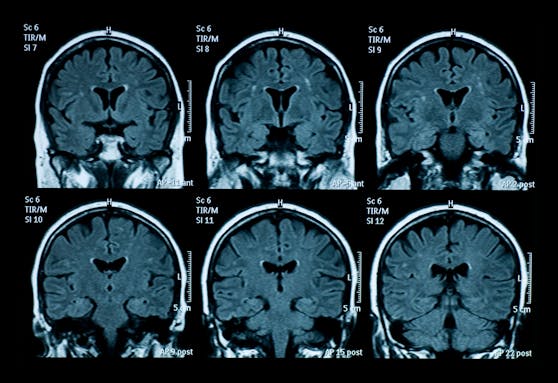
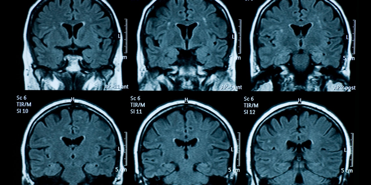
Eine neue Studie aus England zeigt, dass eine Covid-Infektion das Hirn schrumpfen lassen kann. Betroffen sind vor allem die Hirnareale für kognitive Fähigkeiten. Diese Long-Covid-Symptome sind nicht nur bei schweren Verläufen, sondern auch bei "milden" Verläufen möglich, so die Studie. Die Gehirne der Betroffenen wurden zwischen März 2020 und April 2021 untersucht.

Bei hohen Fallzahlen könnte das zu einem ernsthaften Problem für die Gesundheit der Bevölkerung und die Wirtschaft werden, warnen Experten und Expertinnen. Die steigenden Fallzahlen sind eine Realität: Zuletzt gab es erneut über 30.000 Neuinfektionen. Auch etwa in England oder in den Niederlanden steigen die Fallzahlen wieder.

"Heute" auf Google als bevorzugte Quelle festlegen

Besorgte User auf Twitter

Auf Twitter führt die Studie zu viel Aufruhr und teilweise auch Angst. "Es ist nun wissenschaftlich erwiesen: Das Virus macht dumm", so Tages-Anzeiger-Journalist Marc Brupbacher. Ein anderer macht sich Sorgen, dass immer mehr Langzeitnebenwirkungen nach einer Corona-Infektion zum Vorschein kommen könnten. "Es wird immer klarer, dass dieses Virus nicht einfach eine Erkältung ist."

Laut Andreas Cerny, Infektiologe am Moncucco-Spital in Lugano, ist die britische Studie jedoch mit Vorsicht zu genießen. Es wäre voreilig, zu sagen, dass Covid-19 bei vielen Leuten zu einem geschrumpften Hirn, sprich, zu einer verringerten kognitiven Leistung führe. "Durch Covid-19 verursachte Hirnschäden sind zwar eine Tatsache, jedoch von der Virusvariante, dem Schweregrad der Erkrankung, dem Alter und den Vorerkrankungen der Betroffenen abhängig."

"Keine Hinweise, dass Omikron oft zu Hirnschäden führt"

So gäbe es bis dato zum Beispiel keine konkreten Hinweise dafür, dass die aktuell dominanten Omikron-Varianten BA.1 und BA.2 oft zu Hirnschäden führen würden. Zudem habe die britische Studie sich hauptsächlich mit der Morphologie, also mit der Form und Struktur des Gehirns, befasst. "Was man auf den Bildern sieht und was effektiv im Hirn abgeht, sind zwei verschiedene Paar Schuhe", sagt Cerny.

Auch bei den steigenden Fallzahlen seien Panik oder Angst nicht nötig, sagt der Infektiologe. "Die vierte Welle flacht langsam ab, die Hospitalisation und die Todesfälle sind am Sinken." Die Entwicklung sei trotz aktuell steigender Fallzahlen insgesamt als positiv zu bewerten, sagt Cerny.

"Steigende Fallzahlen wegen schneller Öffnungsschritte"

Dass die Welle nicht so schnell abflache und teilweise Fluktuationen aufweisen, sei auf die schnellen Öffnungsschritte zurückzuführen. "Wegen der fast gänzlich gelockerten Maßnahmen, der vielen Touristen und der neuen Omikron-Variante BA.2 zirkuliert das Virus ziemlich stark."

Neue Maßnahmen seien aktuell jedoch nicht gerechtfertigt, sagt Cerny. Einzig die Maskenpflicht in öffentlichen Innenräumen, wie zum Beispiel in Läden, hätte in seinen Augen länger beibehalten werden sollen. "Der Druck auf vulnerable Personen, keine Maske zu tragen, steigt." Viele würden sich vermehrt dafür schämen, sagt Cerny. Er rät, die Maske in öffentlichen Räumen weiterhin zu tragen.

Jetzt E-Paper lesen