Neue OP-Technik

Erstmals! Ärzte entfernen Gehirntumor durch Augenbraue

Durch die Weiterentwicklung der Schlüssellochchirurgie können nun manche Hirntumore ohne Eröffnung des Schädels entfernt werden.
Heute Life
30.10.2024, 12:45
Loading...
Angemeldet als Hier findest du deine letzten Kommentare
Alle Kommentare
Meine Kommentare
Sortieren nach:

Kommentare neu laden
Nach oben

Ein in Schottland tätiger Neurochirurg hat ein Verfahren entwickelt, mit dem Hirntumore in der Größe von Äpfeln durch die Augenbrauen der Patienten entfernt werden können. Anastasios Giamouriadis vom NHS Grampian hat eine bestehende Technik der Schlüssellochchirurgie zur Entfernung von Tumoren angepasst, die eine chirurgische Eröffnung des knöchernen Schädels (Kraniotomie) überflüssig macht, was sowohl für Ärzte als auch Patienten viele Vorteile bringt.

Keine Schädelöffnung mehr nötig

Normalerweise ist bei Patienten mit diesen Tumoren eine Kraniotomie erforderlich – also eine Operation mit offenem Schädel, die bis zu 10 Stunden dauern kann und bei der gesunde Teile des Gehirns freigelegt werden, was die Risiken erhöht. "Wenn man neun Stunden operiert, sind die Chirurgen verständlicherweise müde. Unsere Methode reduziert daher das Fehlerrisiko, indem sie die Operationsdauer verkürzt. Mit dieser Methode ist man in 30 bis 40 Minuten beim Tumor und wenn man den letzten Teil der Operation durchführt, ist der Chirurg noch frisch."

Durch diese neue Methode können nun deutlich größere Tumore aus dem vorderen Teil des Gehirns entfernt werden als dies bisher möglich war. Einige davon sollen die Größe von großen Äpfeln haben. Die neue Methode nimmt auch viel weniger Zeit in Anspruch. Giamouradis und sein Team haben das neue Verfahren bisher bei 48 Patienten durchgeführt, und viele von ihnen konnten das Krankenhaus bereits einen Tag später wieder verlassen.

Eine Betroffene berichtet

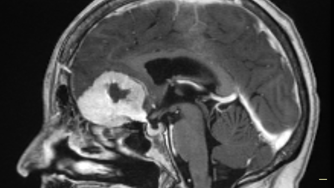
Doreen Adams unterzog sich dem neuen Verfahren im vergangenen Jahr und hat nur Positives zu berichten. Der 75-Jährigen wurde ein "tennisballgroßer" Gehirntumor entfernt. Etwas, das in einer früheren Kraniotomie nicht gelang. Die Seniorin habe nach dem neumethodischen Eingriff kaum die üblichen Nachwirkungen einer Operation gespürt. "Nach der Operation ging es mir großartig", sagte sie. "Ich hatte ein blaues Auge und es dauerte eine Weile, bis es sich öffnete, aber das war alles."

Doreen Adams' Tumor vor der Entfernung.
NHS Grampian

"Ich habe die Technik mit meinem Team modifiziert und weiterentwickelt, um mir durch die Augenbraue mehr Platz zu verschaffen und so sehr große Gehirntumore zu entfernen", erklärte der Chirurg. "Das wirkt sich sehr positiv auf das Ergebnis für den Patienten aus. Bei normalen, ausgedehnten Kraniotomien dauert die Operation in der Regel etwa acht Stunden, und die Patienten bleiben mehrere Tage im Krankenhaus. Durch den Schlüsselloch-Zugang durch die Augenbraue ist die Operation zwar technisch anspruchsvoller, aber sie dauert wahrscheinlich nur halb so lange – wenn nicht sogar weniger. Der Patient kann am zweiten Tag nach Hause gehen und in den meisten Fällen innerhalb von ein oder zwei Wochen wieder in sein normales Leben zurückkehren."

{title && {title} } red, {title && {title} } 30.10.2024, 12:45
Jetzt Abendausgabe lesen