Österreich

Tierhasser schoss mit Waffe auf Brieftaube

Heute Redaktion
13.09.2021, 23:10

Schwer verletzt wurde am Dienstag im 22. Wiener Gemeindebezirk eine angeschossen Taube gefunden. Beim WTV in Vösendorf versuchte man das Tier zu retten.

"Die Brutalität mancher Menschen gegenüber wehrlosen Geschöpfen scheint nicht abzureißen", beim Wiener Tierschutzverein im Vösendorf zeigte man sich am Dienstag in einer Aussendung entsetzt.

In den frühen Morgenstunden ging ein Notruf wegen einer schwerverletzten Taube aus dem 22. Wiener Gemeindebezirk (Donaustadt) ein. Das Tier wurde daraufhin von der Tierrettung in den WTV gebracht und dort untersucht.

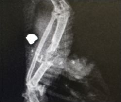
Schockierendes Röntgen

Dabei stellte sich heraus, dass es sich um eine beringte Brieftaube, also ein Haustier, handelte. Der Vogel hatte eine schwere Verletzung am rechten Flügel, die stark nach einer Schussverletzung aussah. Ein Röntgen bestätigte den Verdacht und zeigte das Ausmaß der Verletzung.

Im Flügel der Taube steckte ein Projektil, durch dessen Einschlag Elle und Speiche derart zerfetzt wurden, dass der Tierärztin keine andere Wahl blieb, als das Tier zu erlösen.

Ob die Kugel von einem Luftdruckgewehr oder einer anderen Waffe stammte, ließ aufgrund des verformten Projektils nicht mehr feststellen. "Tauben leiden zwar im Stillen, das heißt aber nicht, dass sie nicht unfassbare Schmerzen haben. Für so eine Tat gibt es keinen Grund und keine Entschuldigung", so WTV-Präsidentin Madeleine Petrovic.

(min)

Jetzt E-Paper lesen