Niederösterreich

Vater der "Zwettler Hüfte" nach 40 Jahren in Ruhestand

Der ehemalige Ärztliche Direktor der Landeskliniken Zwettl, Gmünd und Waidhofen/Thaya Manfred Weissinger wurde nach 40 Jahren offiziell verabschiedet.
Tanja Horaczek
04.05.2023, 10:36
Loading...
Angemeldet als Hier findest du deine letzten Kommentare
Alle Kommentare
Meine Kommentare
Sortieren nach:

Kommentare neu laden
Nach oben

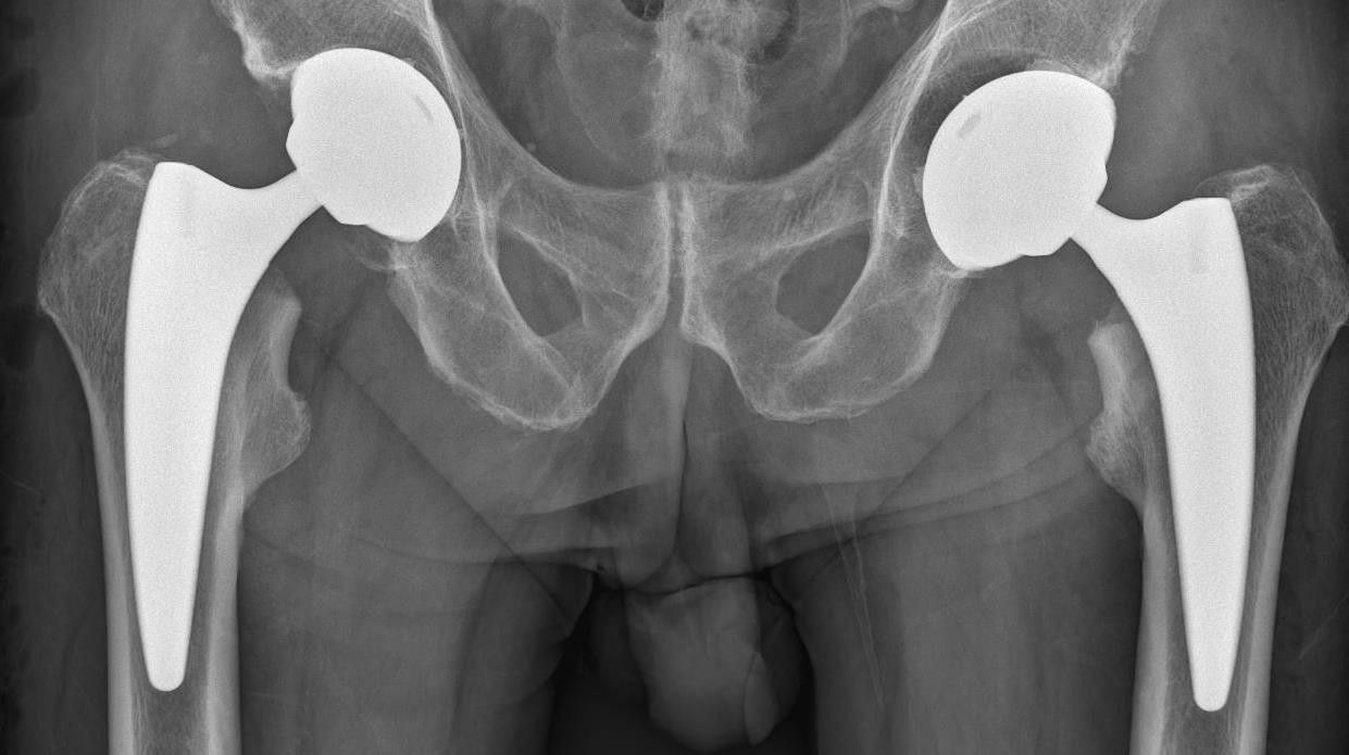
Mit 70 Jahren geht Manfred Weissinger als ärztlicher Leiter der Waldviertler Kliniken Zwettl, Gmünd und Waidhofen in Pension. Bekannt wurde er unter anderem durch seine im Jahr 2003 entwickelte "Zwettler Hüfte".

Sie stellte einen Durchbruch in der Orthopädie dar und kann nur durch einen verhältnismäßig kleinen Hautschnitt – im Vergleich zu vorhergehenden Methoden – eingesetzt werden. Am MIttwoch wurde Weissinger nach fast 40 Jahren offiziell verabschiedet. 

"Hat so viel Positives bewirkt"

Zahlreiche Ehrengäste aus dem Gesundheitswesen, der Politik, Kollegen, Familie, Freunde und Wegbegleiter nahmen an der feierlichen Verabschiedung teil, darunter auch Landeshauptfrau Johanna Mikl-Leitner. Sie sprach in ihrer Festrede von Weissinger als Persönlichkeit, die „in der Medizin und Orthopädie, für das Gesundheitswesen in ganz Niederösterreich und vor allem im Leben vieler Landsleute so viel Positives bewirkt hat.“

„Orthopädie war Dein Beruf, aber viel mehr noch Berufung“, sagte Mikl-Leitner und weiter: „Durch Deine medizinischen Erfolge wie der ,Zwettler Hüfte´ hat das Klinikum Zwettl einen erstklassigen Ruf erlangt, mit einer Strahlkraft weiter über Regions- und Landesgrenzen hinaus.“

Weissinger erzielte einige Erfolge

Weissinger zeigte sich in seinen Abschiedsworten „tief bewegt und gerührt von dieser Geste“. Er spüre die Wertschätzung, die ihm damit entgegengebracht werde. Auch er umriss seine Berufszeit, hob einige Erfolge wie den Neubau der Internen und Orthopädischen Abteilung „in einer kurzen Zeit von nur zwei Jahren“ oder auch die „größte orthopädische Rehabilitation mit dem Moorbad Harbach“ hervor, unterstrich aber, dass es ihm vor allem Herzensanliegen war, „Kontakt mit den jungen Menschen zu knüpfen und sie zu motivieren, sich für Medizin oder Pflege zu entscheiden.“

Durch die "Zwettler Hüfte" wurde er bekannt.
LK Zwettl, Weissinger

1.170 eingesetzte Prothesen in einem Jahr

Neben der "Zwettler Hüfte" setzte Weissinger auch im Knie- und Schulter-Bereich starke Akzente, ebenso gilt er beim Einsetzen einer künstlichen Bandscheibe in der Halswirbelsäule unter dem Mikroskop als Top-Mediziner. Damit wurde 2017 der Rekord von 1.170 eingesetzten Prothesen in Zwettl erreicht. 1.000 waren es im Vorjahr.

Jetzt E-Paper lesen