Life

17-Jähriger ließ sich Penis verkleinern

Heute Redaktion
14.09.2021, 02:08

Ein wahrlich nicht alltägliches Problem hat einen 17-Jährigen in den USA davon abgehalten, Sex zu haben - sein Penis war schlicht und einfach zu groß. Also entschloss sich der Bursch zu einem drastischen Schritt: Er ließ sich sein bestes Stück verkleinern.

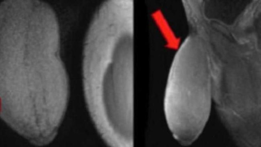
Sein Glied war ursprünglich 18 Zentimeter groß, im unerrigierten Zustand, und hatte die Form eines Footballs. Der Bursch litt sehr darunter, nicht nur Sport sondern auch Sex waren aufgrund der Größe seines Penis' unmöglich. Immer wieder bekam er spontane Erektionen, was zu zusätzlichen Problemen führte.

Also konsultierte er den Urologen Rafael Carrion. Diesen fragte er: "Können Sie meinen Penis verkleinern?", wie der Arzt der "Daily Mail" verriet. Auch für den Mediziner stellte der Eingriff ein Novum dar, laut Carrion handelt es sich um die erste Operation dieser Art weltweit.

Das Ergebnis kann sich jetzt sehen lassen: Angeblich ist der Penis nun "ein wenig länger und dicker als der Durchschnitt". "Er sieht symmetrisch aus und der Patient war begeistert."

Jetzt E-Paper lesen