Life

Mädchen kam schwanger auf die Welt

Heute Redaktion
14.09.2021, 02:09

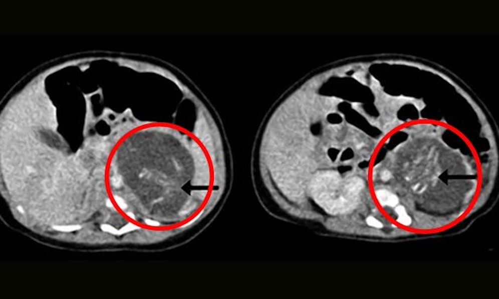
Ein statistisches "Wunder" haben Ärzte in Hong Kong erlebt: Ein Baby kam bereits schwanger auf die Welt - und das mit Zwillingen. Solch ein Fall tritt nur einmal in 500.000 Fällen auf, wie das "Hong Kong Medical Journal" berichtet.

Ein statistisches "Wunder" haben Ärzte in Hong Kong erlebt: Ein Baby kam bereits schwanger auf die Welt - und das mit Zwillingen. Solch ein Fall tritt nur einmal in 500.000 Fällen auf, wie das "" berichtet. 

Bei dem Phänomen, das auch als "foetus in foeto" bezeichnet wird, entwickeln sich während der Schwangerschaft mehrere Föten, die dann von einem einverleibt werden. Der Umstand lässt sich pränatal nur schwer entdecken, daher entdeckten die Ärzte erst nach der Geburt des Kindes die anderen Föten im Bauch des Kindes.
Laut "mirrror.co.uk" hatten sie bereits Arme, Beine, eine Wirbelsäule, sowie Haut und Gedärme. Die Kinder waren ungefähr acht bis zehn Wochen alt.

Gebären konnte das Kind die Föten freilich nicht, sie wurden dem Mädchen wenige Tage nach der Geburt operativ entfernt.

Jetzt E-Paper lesen