Life

Mann hielt sich beim Niesen Nase zu: Spital

Heute Redaktion
13.09.2021, 21:56

Die einen niesen so laut, dass es einem Erdbeben gleicht, andere wiederum versuchen es zu unterdrücken - ein fataler Fehler, wie ein Fall aus England zeigt.

Gehören Sie zu jenen Personen, die versuchen Ihr Niesen zu unterdrücken? Nach der ungewöhnlichen Geschichte eines Mannes aus Großbritannien, der sich dabei die Nase zuhielt und anschließend im Krankenhaus landete, vermutlich nicht mehr.

Der vollkommen gesunde 34-Jährige hatte sich beim Niesen die Nase sowie den Mund zugehalten, und dabei einen Knall in seinem Hals wahrgenommen. In der Notaufnahme des University Hospital in Leicester beschrieb er später ein pochendes Gefühl in seinem Hals, starke Schmerzen beim Schlucken und eine Veränderung seiner Stimme. Zudem schwoll sein Hals besonders auf der rechten Seite an.

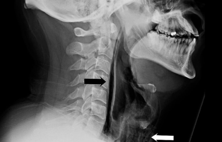
Riss im Rachen

Der Arzt konnte zwar kein Fieber und auch keine Atemnot feststellen, vernahm vom Hals bis zu beiden Seiten des Brustbeines allerdings ein Rasseln im Körper des Patienten. Röntgen- und CT-Bilder zeigten dann einen Riss im Schlund, durch den Luft in Gewebeschichten am Hals vorgedrungen waren, wo normalerweise keine hingehört. Außerdem entdeckten die Mediziner Luft im oberen Bereich des Mittelfellraumes, der vom Zwerchfell aufwärts zwischen den Lungenflügeln Richtung Hals verläuft.

Verursacht werden Risse im tiefen Rachen sonst eigentlich nur durch Unfälle, Operationen oder Infektionen. Selten entstehen sie auch bei heftigen Hustenanfällen oder durch Erbrechen. Im Fall des Mannes konnte der Druck, der bei einem Nieser entsteht nicht nach außen entweichen und entlud sich daraufhin bis in den tiefen Rachenbereich, wo er den Schaden anrichtete.

Der Patient musste bis zum Abklingen der Schwellung über eine Magensonde ernährt werden und ein Antibiotikum gegen eine mögliche Entzündung einnehmen. Erst nach sieben Tagen konnten durfte der Mann das Krankenhaus wieder verlassen.

Das lernen wir daraus!

Dass sich jemand durch einen unterdrückten Nieser ernsthaft verletzt, ist äußerst selten, schreiben die Mediziner des University Hospital in Leicester im Fachmagazin "BMJ Case Reports". Einzelfälle, bei denen dieses Manöver zu Trommelfellverletzungen, Rissen in der Hauptschlagader sowie Rupturen von Blutgerinnseln im Gehirn führte, gäbe es aber ausreichend. Sie raten: "Nieser zu unterdrücken, indem man den Mund schließt und sich die Nase zuhält, ist gefährlich und sollte vermieden werden."

(kiky)

Jetzt E-Paper lesen