Vorerkrankungen

Schlaganfall – wann er dich besonders schwer trifft

Eine Studie belegt, dass Raucher, Personen mit Bluthochdruck und Vorhofflimmern schwerere Schlaganfälle erleiden als andere Menschen.
Heute Life
07.12.2024, 06:55
Loading...
Angemeldet als Hier findest du deine letzten Kommentare
Alle Kommentare
Meine Kommentare
Sortieren nach:

Kommentare neu laden
Nach oben

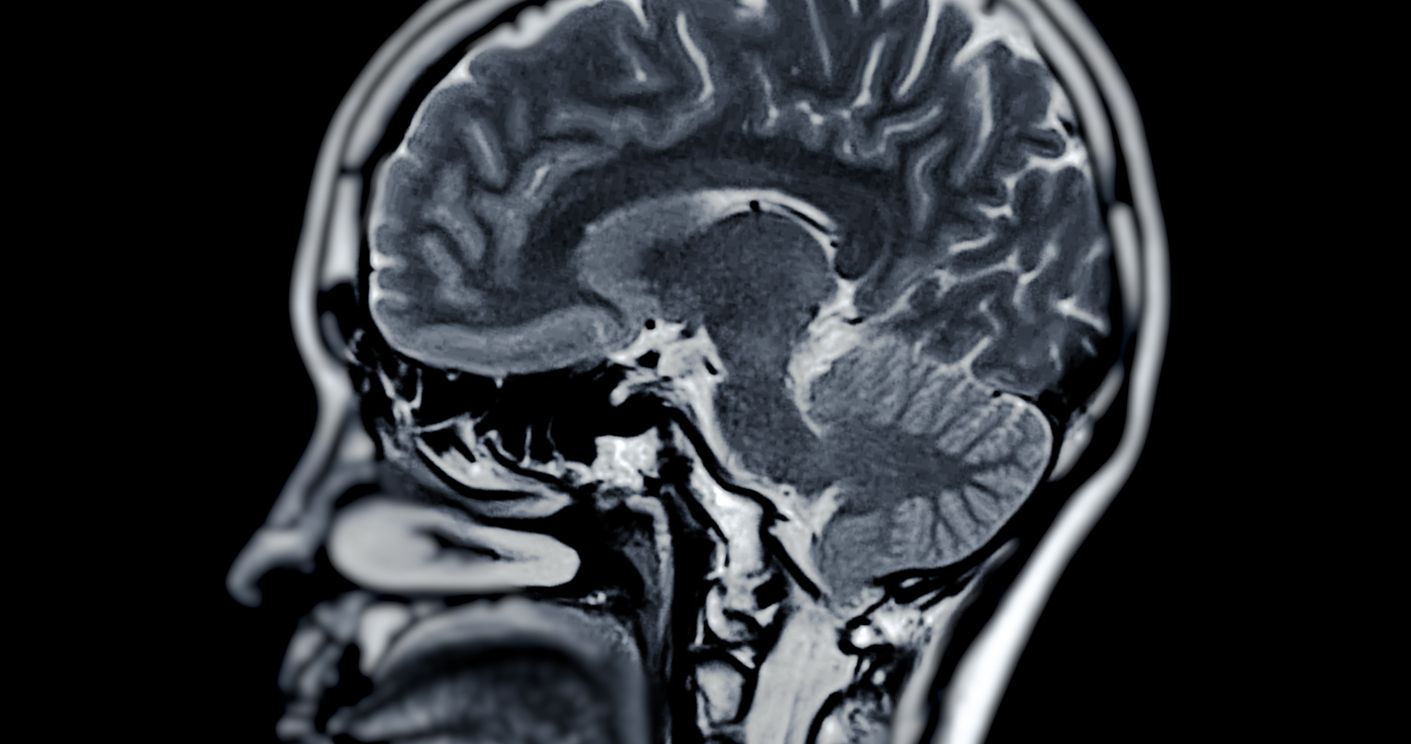
Ein Schlaganfall (Apoplex) tritt auf, wenn die Blutzufuhr zum Gehirn unterbrochen wird und die Gehirnzellen absterben. In 80 % der Fälle wird er durch den Verschluss einer Arterie im Gehirn ausgelöst. Die Schäden können zu langfristigen körperlichen und/oder geistigen Behinderungen führen und im schlimmsten Fall tödlich sein.

Es gibt Faktoren bzw. Lebensweisen, die das Risiko vielfach erhöhen können. Dazu gehören unter anderem Übergewicht, Rauchen, Bluthochdruck oder Vorhofflimmern. Wie die Fall-Kontroll-Studie INTERSTROKE zeigt, fallen Schlaganfälle bei solchen Risikopatienten auch schwerer aus als bei anderen.

An der Studie nahmen 26.948 Personen aus 32 Ländern teil. Sie waren im Schnitt 62 Jahre alt. Die Hälfte von ihnen hatte einen Schlaganfall gehabt, die andere Hälfte nicht.
Bei 36 % der 13.460 erlittenen Schlaganfälle fiel er schwerwiegend aus, hatte also entweder starke Behinderungen bis hin zu Pflegebedürftigkeit oder den Tod zur Folge. 64 % hatten einen leichten bis mittelschweren Schlaganfall, der nur einer leichten Hilfe bedurfte.

Symptome eines Schlaganfalls

- plötzliche Taubheit oder Schwäche im Gesicht, in den Armen oder Beinen (vor allem auf einer Körperseite)

- Verwirrung

- Verschwommenes Sehen

- Schwindel, Unsicherheit beim Gehen

- Starke Kopfschmerzen

- Probleme mit dem Sprechen (Wortfindungsstörungen, verwaschene Sprache)

Von den Patienten mit den schweren Anfällen hatten 74 % hohen Blutdruck (höher als 140/90), 30 % waren Raucher und 11 % hatten Vorhofflimmern. Von den Patienten mit nicht-schweren Anfällen hatten 72 % Bluthochdruck, 9 % Vorhofflimmern und ebenfalls 30 % Raucher.

Risikofaktoren machen einen Unterschied

Patienten mit hohem Blutdruck hatten also 3,2-mal häufiger einen schweren Schlaganfall und 2,9-mal einen nicht-schweren Schlaganfall als Personen mit normalem Blutdruck.

Raucher traf der schwere Schlaganfall 1,9-mal öfter als der nicht-schwere Schlaganfall (1,7-mal). Betroffene mit Vorhofflimmern bekamen 4,7-mal häufiger einen schweren Schlaganfall und 3,6-mal öfter einen nicht-schweren.

{title && {title} } red, {title && {title} } 07.12.2024, 06:55
Mehr zum Thema
Jetzt E-Paper lesen