Österreich-News

"Wasser im Bauch" – Arzt macht Schock-Diagnose

Eine Kärntnerin suchte wegen vermeintlicher Wasseransammlung einen Arzt auf. Doch die Frau hatte kein Wasser, sondern einen riesigen Tumor im Bauch.
André Wilding
02.09.2021, 11:58

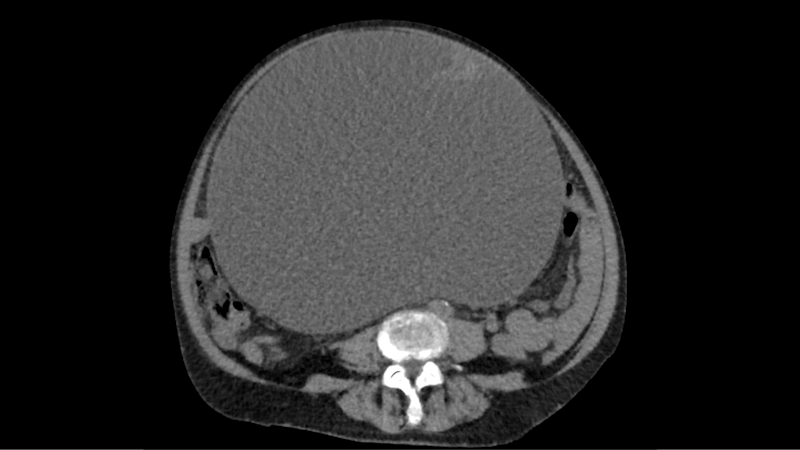
Einer 73-jährigen Frau aus Villach hat der Besuch beim Hausarzt wohl das Leben gerettet! Die Kärntnerin hatte laut ORF wegen vermeintlichen Wasseransammlungen im Bauch einen Mediziner konsultiert. Doch eine Untersuchung brachte eine andere Schock-Diagnose, denn die Frau hatte einen Tumor im Bauch.

Die Patientin wurde daraufhin sofort an der Chirurgie des Klinikum Klagenfurt vorstellig, heißt es in dem Bericht weiter. "Wir haben einen 10,2 Kilogramm schweren und 30 Zentimeter im Durchmesser großen Tumor entfernt", erklärt Primarius Reinhard Mittermair, Abteilungsvorstand der Allgemein- und Viszeralchirurgie am Klinikum Klagenfurt dem ORF.

"Heute" auf Google als bevorzugte Quelle festlegen

"Plötzlich veränderte sich alles"

Nach der histologischen Aufarbeitung zeigte sich laut dem Mediziner ein Eierstockkrebs im Frühstadium, der komplett im gesunden entfernt worden ist. "Somit benötigt die Patientin weder eine Chemotherapie noch eine Strahlentherapie", so Mittermair weiter.

Die Frau konnte das Krankenhaus bereits nach fünf Tagen wieder verlassen, berichtet der ORF. Die Patientin möchte anonym bleiben, sagte aber: "Als man nach einer CT-Untersuchung in meinem Bauchraum einen größeren Bauchtumor diagnostizierte, war ich vorerst geschockt, plötzlich verändert sich alles, was macht man in einer solchen Situation?"

Sie habe sich "zu ihrem Glück" an die Chirurgische Abteilung Bauchtumor Zentrum im Klinikum Klagenfurt gewandt. In ihrer Aussage lobt sie auch das Behandlungsteam, das ihr während des gesamten Aufenthaltes ein Gefühl der Sicherheit vermittelt habe.

Jetzt E-Paper lesen