Gesundheit

Dieser Fötus wuchs im Gehirn von 1-jährigem Mädchen

Als das Kind Probleme mit der Motorik bekommt und einen vergrößerten Kopf zeigt, bringen die Eltern es ins Spital. Die Diagnose hat Seltenheitswert.
Sabine Primes
15.03.2023, 22:45
Loading...
Angemeldet als Hier findest du deine letzten Kommentare
Alle Kommentare
Meine Kommentare
Sortieren nach:

Kommentare neu laden
Nach oben

In China entdecken Mediziner eine Art parasitären Zwilling im Gehirn eines einjährigen Mädchens – eine äußerst seltene medizinische Anomalie mit dem Namen "Fetus in Fetu". Der Zustand wird durch die unvollständige Trennung von eineiigen Zwillingen verursacht, die durch die Teilung einer Eizelle entstehen. Danach entwickelt sich ein Zwilling im Körper des anderen weiter. Betroffene haben nach der Geburt den fremden Fötus in ihrem Körper, meist allerdings im Bauchraum und nicht im Gehirn. Dieser Fötus ist selbst nicht lebensfähig, kann aber unkontrolliert wachsen und verschiedenste Zelltypen ausbilden. Weltweit sind bisher weniger als 200 Fälle bekannt. Die Ärzte wissen nicht genau, wie dies geschieht, es gibt lediglich Theorien.

Fetus-in-fetu

Von einem Fetus-in-fetu (FIF) spricht man, wenn ein missgebildeter Fötus im Körper seines Zwillings eingeschlossen ist. Man geht davon aus, dass dies bei etwa 1 von 500.000 Geburten vorkommt und sowohl Männer als auch Frauen betreffen kann. In der medizinischen Fachliteratur sind weniger als 200 Fälle dieser extrem seltenen Erkrankung bekannt. Es sind nur 18 Fälle bekannt, in denen der Fötus im Schädel seines Geschwisters entdeckt wurde.

In der Regel wird er im Säuglingsalter entdeckt, aber es wurden auch einige wenige Fälle bei Erwachsenen gemeldet. Zu den Symptomen gehört eine große abdominale Masse. Zur Bestätigung, dass ein FIF vorliegt, sind Ultraschalluntersuchungen erforderlich. Die Ärzte können den Fötus dann durch eine Operation entfernen. Die Betroffenen erholen sich in der Regel vollständig.

Folgeschäden unklar

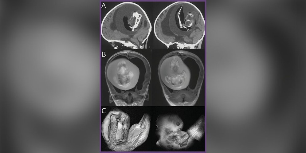
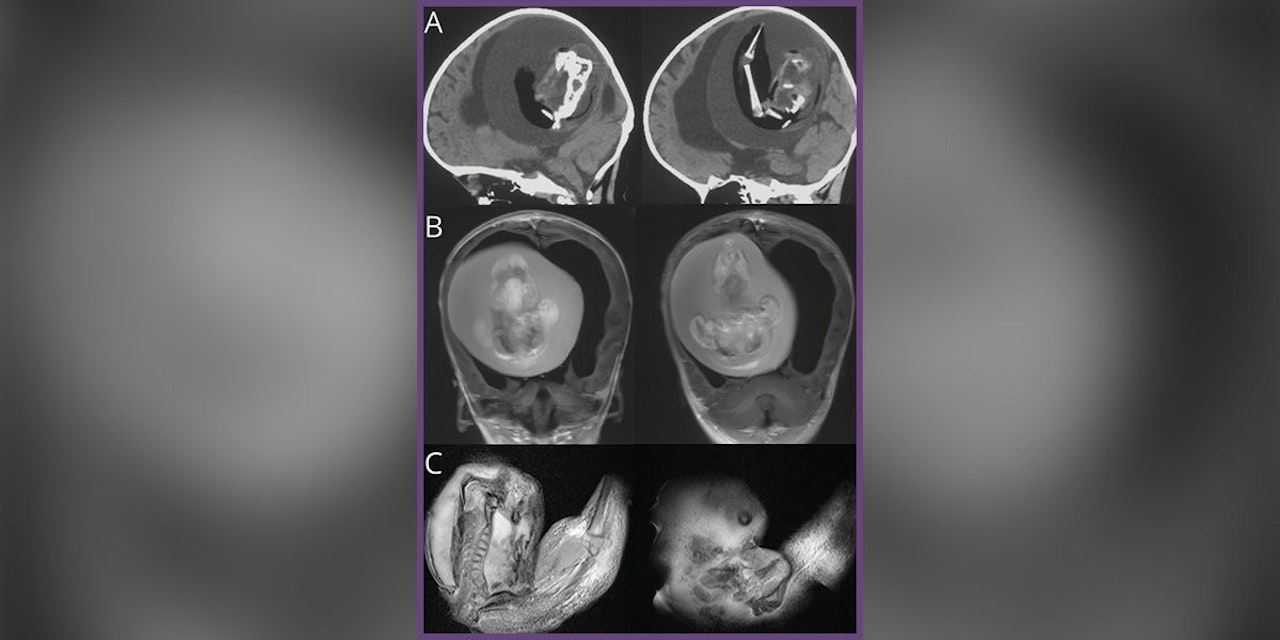
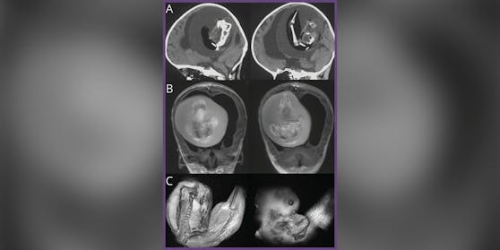
Der Fall wurde in der Zeitschrift Neurology der American Academy of Neurology veröffentlicht. Der Fetus in Fetu wurde erst entdeckt, als die Eltern ihre Tochter im Krankenhaus untersuchen ließen, weil sie einen vergrößerten Kopf und Probleme mit der Motorik hatte. CT-Scans zeigten, dass ihr ungeborenes Geschwisterchen gegen ihr Gehirn gedrückt wurde. Außerdem hatte sie einen Hydrocephalus ("Wasserkopf") – eine Flüssigkeitsansammlung tief im Gehirn, die einen vergrößerten Kopf, extreme Schläfrigkeit und Krampfanfälle verursachen kann. Die Ärzte konnten den Zwilling aus dem Kopf entfernen und erklärten, dass er obere Gliedmaßen, Knochen und sogar Fingernägel ausgebildet hatte, was bedeutet, dass er wahrscheinlich noch Monate nach der Geburt seines Geschwisters weiterwuchs. Ob das Mädchen Langzeitschäden davontragen wird, ist unklar. 

"Heute" auf Google als bevorzugte Quelle festlegen

Bilder des entfernten Fötus gibt es in unserer Bildergalerie. Ansehen auf eigene Verantwortung!

Weltweit weniger als 200 Fälle bekannt

Weltweit sind bisher weniger als 200 Fälle bekannt. Im Jahr 2017 fanden Ärzte in Thailand drei Geschwister im Schädel eines ungeborenen Mädchens. Jedes von ihnen habe "mehrere gut entwickelte Organe" gehabt, darunter ein Nerven-, Verdauungs- und Atmungssystem. Sie waren mit dem "Wirtsgeschwisterl" über eine einzige Arterie und Vene verbunden, bei der es sich den Ärzten zufolge um die Nabelschnur handelte.

In einem anderen Fall aus dem Jahr 2015, ebenfalls in China, fanden Ärzte einen ungeborenen Fötus im Hodensack seines männlichen Zwillings, als der 20 Tage nach der Geburt des Säuglings anzuschwellen begann. Scans zeigten eine "gut abgegrenzte Masse" im Hodensack, komplett mit Knochen und Knospen, die sich laut Ärzten zu Gliedmaßen hätten entwickeln können. Der Fötus wurde operativ entfernt, und sein Zwilling wurde fünf Tage nach der Operation wieder entlassen, nachdem er sich vollständig erholt hatte.

Weitere Storys
Jetzt E-Paper lesen