Frau hat nichts bemerkt

Magenkrebs – Chirurgen entfernen 8,5-Kilo-Tumor

Die Patientin lebte monatelang mit besonders ausgeprägter Form von Magenkrebs, ohne dass sie es richtig bemerkte.
Heute Life
10.04.2025, 20:03
Loading...
Angemeldet als Hier findest du deine letzten Kommentare
Alle Kommentare
Meine Kommentare
Sortieren nach:

Kommentare neu laden
Nach oben

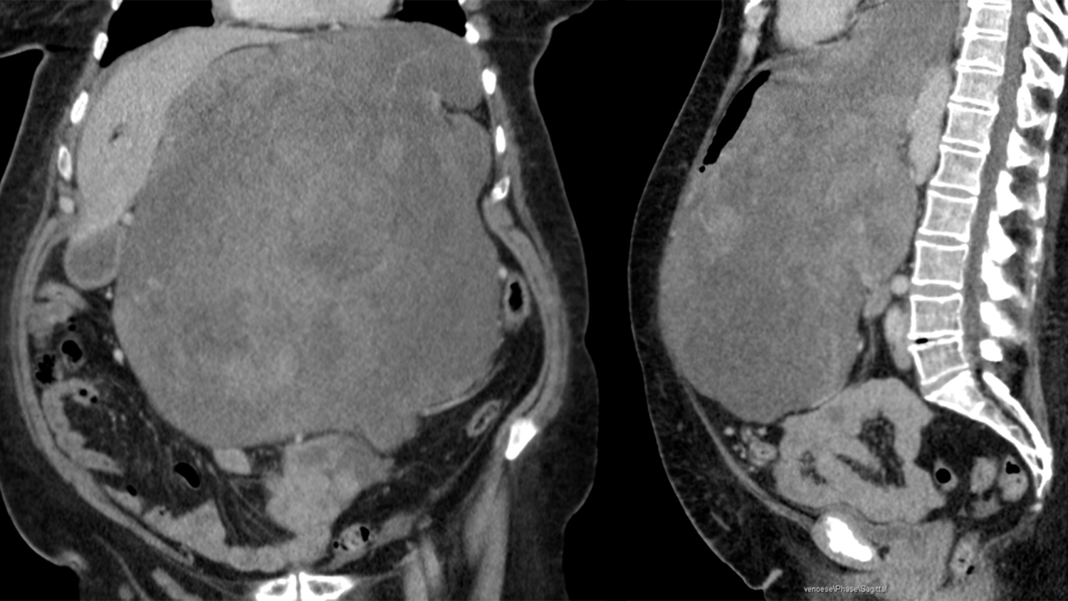
Beim Blick auf die CT-Bilder mussten die Mediziner gleich zweimal hinschauen. Denn der Tumor, den sie auf dem Bild sahen, war derart groß, dass die Fachleute es kaum glauben konnten. Im Bauch der 65-jährigen Patientin hatte sich ein 8,5 Kilogramm schwerer Tumor breitgemacht, der Leber und Magen sowie den Darm an den Rand der Bauchdecke drängte. Im Klinikum Bremen-Mitte hat Prof. Dr. Hüseyin Bektas diesen rekordverdächtigen Tumor nun Anfang April in einer aufwendigen Operation mit seinem Team entfernt.

Da der Tumor vom Magen aus auch schon Speiseröhre und Bauchspeicheldrüse befallen hatte, mussten diese teilweise – die Milz sogar komplett – mitentfernt werden. Von dem großen Eingriff musste die Patientin sich zunächst erholen, am nächsten Tag folgte dann die Rekonstruktion des Magen-Darm-Trakts. Dabei wurde aus dem übriggebliebenen Magen ein Magenschlauch gebildet, der an die Speiseröhre angeschlossen wurde.

Komplett ahnungslos

Was bei der Größe des Tumors fast unglaublich zu sein scheint: Die Patientin hatte bis vor wenigen Monaten mit dem Tumor gelebt, ohne ihn wirklich zu bemerken. Als es der Frau dann zunehmend schlechter ging, sie kaum noch Nahrung zu sich nehmen konnte und so innerhalb von drei Monaten 22 Kilogramm abnahm, wurde sie von ihrem Arzt ins nächstgelegene Krankenhaus zur genaueren Diagnostik überwiesen.

Die Patientin konnte bereits auf eine Normalstation verlegt werden. Aktuell gehe es ihr den Umständen entsprechend gut, auch essen und trinken sei wieder möglich. Weil der Tumor sich als bösartig herausstellte, besteht jedoch die Gefahr, dass er wiederkommt.

Vorsorgeuntersuchungen nutzen

Damit es nicht zu Tumoren dieser extremen Größe kommt, ist es wichtig, Vorsorgeangebote zu nutzen – also Magen- und Darmspiegelung. Dadurch können viele Krebserkrankungen bereits im Vor- oder Frühstadium erkannt und behandelt werden.
Auch auf bestimmte Symptome sollte man achten, beim Magen zum Beispiel weisen Appetitlosigkeit, Gewichtsverlust und anhaltende Bauchbeschwerden auf ein mögliches Problem hin. Beim Darm sind krampfartige Bauchschmerzen, anhaltender Durchfall oder häufige Verstopfung, vor allem aber Blut im Stuhl Anzeichen dafür, dass man die Beschwerden besser abklären lassen sollte.

{title && {title} } red, {title && {title} } 10.04.2025, 20:03
Jetzt E-Paper lesen